Juvenilne idiopatyczne zapalenie stawów (JIA) to przewlekła choroba zapalna stawów u dzieci i młodzieży poniżej 16 roku życia, trwająca co najmniej 6 tygodni, której przyczyna nie jest do końca poznana (idiopatyczna). JIA jest najczęstszą postacią zapalenia stawów u dzieci i obejmuje różne podtypy k...
Ilość odsłon: 4
źródło: https://admed.org.pl/blog/juvenilne-idiopatyczne-zapalenie-stawow-jia-przyczyny-objawy-leczenie-i-profilaktyka
dodano: 2026-01-22 03:52:09
Inne znaleziska:
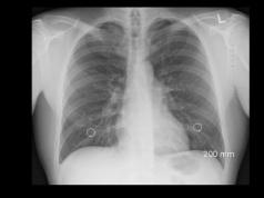
Idiopatyczne włóknienie płuc
admed.org.pl
Idiopatyczne włóknienie płuc (IPF, idiopathic pulmonary fibrosis) to rzadka, przewlekła i postępująca choroba płuc, która prowadzi do stopniowego upośledzenia oddychania. Choć brzmi skomplikowanie, warto zrozumieć jej istotę – zwłaszcza że wczesna di...
admed.org.pl, 2025-12-18 01:27:34
2025-12-18 01:27:34
Przełom w leczeniu stawów. Polscy naukowcy opracowali terapię
interia.pl
Polscy naukowcy opracowali terapię regenerującą uszkodzone stawy z wykorzystaniem komórek macierzystych. Efekty? Mniej bólu, większa mobilność, a w badaniach na zwierzętach całkowita regeneracja uszkodzonych stawów. To sukces na skalę światową, bo Me...
interia.pl, 2025-07-22 14:04:09
2025-07-22 14:04:09
Koniec z bólem kolan? Nowa terapia choroby zwyrodnieniowej stawów
rmf24.pl
Nową metodę leczenia osteoartrozy opracował zespół naukowy z Wydziału Biochemii, Biofizyki i Biotechnologii Uniwersytetu Jagiellońskiego w Krakowie. Polega ona na wykorzystaniu komórek macierzystych, które po wszczepieniu do chorych stawów - zmniejsz...
rmf24.pl, 2025-07-22 15:24:07
2025-07-22 15:24:07
Szczeć pospolita na żołądek, bóle stawów, boreliozę
sekrety-zdrowia.org
Szczeć pospolita [Dipsacus fullonum] wygląda jak duży oset, ubrana w elegancką podstępną zbroję ochronną. Wysoka, kolczasta wytwarza szczotkowate główki i The post Szczeć pospolita na żołądek, bóle stawów, boreliozę appeared first on Sekrety-zdrowia....
sekrety-zdrowia.org, 2025-08-17 16:15:06
2025-08-17 16:15:06
Trwa budowa schodów w Dolinie Trzech Stawów. Poprzednie już się sypały
katowice24.info
Trwa wymiana schodów w Dolinie Trzech Stawów. Poprzednie były w fatalnym stanie. Dzięki projektowi do Budżetu Obywatelskiego pojawi się pochylnia, której do tej pory brakowało. Schody w Dolinie Trzech Stawów były już w fatalnym stanie. Chodzi o przej...
katowice24.info, 2025-08-20 18:15:08
2025-08-20 18:15:08
Zapalenie trzustki może zagrażać życiu. Jak wyglądają objawy?
newsmed.pl
Zapalenie trzustki to stan zapalny tego narządu. Może mieć przebieg ostry lub przewlekły. Czym się różnią objawy obu tych schorzeń?
newsmed.pl, 2025-08-22 10:45:08
2025-08-22 10:45:08
Górskim szlakiem: To miejsce pobiło w moim rankingu nawet Dolinę Pięciu Stawów. Onieśmiela pięknem
gazeta.pl
Gdzie w Tatrach jest mało ludzi? Jeśli lubisz dłuższy spacer połączony z pięknymi widokami i wypoczynkiem nad wodą, to idealny szlak dla ciebie. Jest prosty, obfituje w bajeczne panoramy i nie ma na nim tłumów.
gazeta.pl, 2025-08-30 06:26:23
2025-08-30 06:26:23
Zapalenie pęcherza moczowego może być wczesnym objawem raka układu moczowo-płciowego u dorosłych
alertmedyczny.pl
Nowe badania wskazują, że zapalenie pęcherza moczowego może być wczesnym sygnałem raka układu moczowo-płciowego. Artykuł Zapalenie pęcherza moczowego może być wczesnym objawem raka układu moczowo-płciowego u dorosłych pochodzi z serwisu Alert Medyczn...
alertmedyczny.pl, 2025-09-18 07:59:18
2025-09-18 07:59:18
Diane Keaton zmarła na zapalenie płuc. Jak się chronić przed chorobą?
newsmed.pl
W niektórych grupach chorych zapalenie płuc kończy się zgonem nawet w 70 proc. przypadków. Co robić, aby unikać ryzyka choroby?
newsmed.pl, 2025-10-16 15:38:04
2025-10-16 15:38:04
Postrach bólu stawów i cukrzycy. Zalej gorącą wodą, efekty Cię zaskoczą
portalspozywczy.pl
Mówiono o niej, że jest lekarstwem "na wszystko oprócz śmierci".  Dziś nauka potwierdza jej zdrowotne działanie. Niepozorne czarne ziarenka czarnuszki kryją w sobie wiele pozytywnych dla zdrowia składników. Kiedy warto po nią sięgać?
portalspozywczy.pl, 2025-10-17 18:04:05
2025-10-17 18:04:05