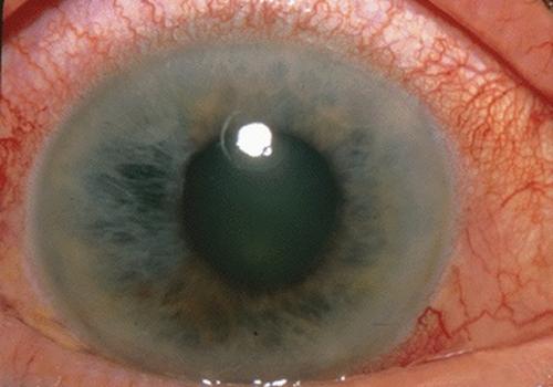
Jaskra rozwija się bezobjawowo i prowadzi do nieodwracalnej ślepoty, dlatego polscy okuliści organizują tydzień bezpłatnych badań w ponad 60 placówkach w całym kraju. Jaskra to podstępna i przewlekła choroba oczu, która dotyka już 78 milionów osób na całym świecie. Prognozy medyczne są niepokojące,...
źródło: https://faktyplus.pl/bezplatne-badania-jaskra-marzec-2026-lista-placowek-objawy/
dodano: 2026-03-09 11:38:06
Inne znaleziska:
Nawet połowa osób nie wie, że choruje. Jaskra odbiera wzrok bez ostrzeżenia
interia.pl
Jaskra jest jedną z głównych przyczyn ślepoty u osób powyżej 60. roku życia. To jedna z najgroźniejszych chorób oczu, która przez długi czas może rozwijać się bezobjawowo. Nieleczona prowadzi do nieodwracalnego uszkodzenia nerwu wzrokowego, a w konse...
interia.pl, 2026-04-26 14:05:22
2026-04-26 14:05:22
Nie przegap! Częstochowa walczy z jaskrą – bezpłatne badania dla mieszkańców!
zycieczestochowy.pl
Artykuł Nie przegap! Częstochowa walczy z jaskrą – bezpłatne badania dla mieszkańców! pochodzi z serwisu Wiadomości Częstochowa - Życie Częstochowy i powiatu.
zycieczestochowy.pl, 2026-03-07 12:55:07
2026-03-07 12:55:07
Renta wdowia wypłacona już ponad 500 tysiącom osób. Sprawdź, czy też możesz ją dostać
newsmed.pl
Od 1 lipca ponad 530 tys. osób otrzymało już wypłaty w ramach renty wdowiej, a do beneficjentów trafiło łącznie 1,8 miliarda złotych. Świadczenie pozwala połączyć własną emeryturę lub rentę z częścią renty rodzinnej po zmarłym małżonku. Kto może się...
newsmed.pl, 2025-07-18 13:02:04
2025-07-18 13:02:04
Polska Izba Handlu: Wdrożenie systemu kaucyjnego zagraża tysiącom sklepów
portalspozywczy.pl
Zbliża się termin startu systemu kaucyjnego. W ostatnich miesiącach branża handlu głośno wyrażała zaniepokojenie sytuacją, w której się znalazła: wystosowała 2 apele (8 kwietnia oraz 16 czerwca), w których przedstawiła najważniejsze zagrożenia identy...
portalspozywczy.pl, 2025-08-21 10:31:05
2025-08-21 10:31:05
Ważny projekt senatora Grzegorza Biereckiego może pomóc tysiącom Polaków
podlaski.info
– Chciałbym, aby pociągi pełne Polaków wjeżdżały na dworzec ojczyzny nie jako repatrianci, a jako powracający, oczekiwani przez nas członkowie narodowej wspólnoty – tłumaczy senator Bierecki, przedstawiając zapowiadany przez siebie w Biał...
podlaski.info, 2025-09-05 15:39:07
2025-09-05 15:39:07
Polska, Litwa i Łotwa zapobiegły 200 tysiącom prób nielegalnej migracji z Białorusi
belsat.eu
Liczbę udaremnionych prób nielegalnej migracji z Białorusi do sąsiadujących z nią krajów Unii Europejskiej podała Służba Ochrony Granicy Państwowej Litwy (VSAT).
belsat.eu, 2025-11-04 17:53:11
2025-11-04 17:53:11
IKEA wycofuje kultowy dodatek. Błąd w oznakowaniu zagraża 380 tysiącom Polaków!
newsnadzis.pl
Szwedzki gigant meblarski, IKEA, znany nie tylko z popularnych regałów Billy i kultowych klopsików, wydał pilny komunikat dotyczący wycofania ze sprzedaży kluczowego produktu spożywczego. Chodzi o prażoną cebulkę ROSTAD LÖK, którą miliony Polaków chę...
newsnadzis.pl, 2025-12-17 14:47:06
2025-12-17 14:47:06
Mała zmiana z ogromnym efektem dla serca. Może zapobiec tysiącom zawałów i udarów
horecatrends.pl
Najnowsze badania opublikowane w czasopiśmie Hypertension pokazują, że nawet niewielkie ograniczenie ilości soli w podstawowych produktach spożywczych może przynieść ogromne korzyści zdrowotne. Kluczowe nie są indywidualne wyrzeczenia konsumentów, le...
horecatrends.pl, 2026-02-07 09:51:13
2026-02-07 09:51:13
Znika bar znany tysiącom kierowców. To koniec pewnej epoki
horecatrends.pl
Przez ponad 30 lat był obowiązkowym przystankiem na trasie i symbolem domowej kuchni przy drodze. Teraz kultowy bar, znany kilku pokoleniom kierowców, znika z mapy. Decyzja o zamknięciu wywołała falę wspomnień i komentarzy w sieci.
horecatrends.pl, 2026-02-08 19:34:11
2026-02-08 19:34:11
Szef KAS zmienia zasady gry ws. klimatyzatorów. Tysiącom podatników to się nie spodoba
wnp.pl
15 lutego ruszyły rozliczenia w e-PIT, a już 19 lutego podatnicy dowiedzieli się, że Szef Krajowej Administracji Skarbowej zmienił interpretację w sprawie ulgi termomodernizacyjnej. Klimatyzatory z funkcją grzania przestały być odliczane. Miliony zło...
wnp.pl, 2026-03-04 06:00:34
2026-03-04 06:00:34