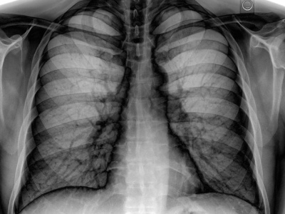
Czy można przeprowadzić badanie, które pozwoli zajrzeć głęboko w ludzkie ciało z nieosiągalną dotąd precyzją? Autorzy ostatnich postępów w tej materii twierdzą, że to możliwe – i to bez większych komplikacji, co oznacza, iż można byłoby prowadzić takie działania na masową skalę. Naukowcom udało się...
źródło: https://www.focus.pl/artykul/perowskitowa-kamera-obrazowanie-ludzkie-cialo
dodano: 2025-09-25 08:51:17
Inne znaleziska:
Najlżejsza kamera Insta360. Pozwala na wiele
tabletowo.pl
Kamera Insta360 X4 Air przedstawiana jest jako lekkie i proste w obsłudze, a przy tym funkcjonalne i oferujące wysoką jakość urządzenie.Przeczytaj pełny artykuł tutaj: Najlżejsza kamera Insta360. Pozwala na wiele
tabletowo.pl, 2025-10-29 09:10:21
2025-10-29 09:10:21
Halloweenowa atmosfera w Hair Room. Warto zajrzeć tam z dziećmi!
moje-gniezno.pl
W gnieźnieńskim Salonie Fryzjerskim Hair Room zagościł już prawdziwie halloweenowy klimat. Wnętrze zdobią barwne dekoracje, pajęczyny, dynie i upiorne detale, które przyciągają wzrok – szczególnie najmłodszych klientów. Właśnie dlatego to idealne mie...
moje-gniezno.pl, 2025-10-29 11:01:19
2025-10-29 11:01:19
“Wstawaj, trzeba do krowy zajrzeć.” To przeszłość, teraz aplikacja poinformuje cię, kiedy cieli się krowa
wrp.pl
“Stary, wstawaj, trzeba do krowy zajrzeć”. To zdanie spędzało sen z powiek hodowcom bydła niezliczoną ilość razy. Często pada kilka razy w nocy, doprowadzając rolników do pasji. Teraz może się to wreszcie zmienić, bowiem jedna z japońskich firm oprac...
wrp.pl, 2025-10-29 13:40:15
2025-10-29 13:40:15
Co było przed Wielkim Wybuchem? Naukowcy chcą zajrzeć dalej
tech.wp.pl
Zespół badaczy powiązany z Foundational Questions Institute chce podjąć się czegoś, co dotychczas wydawało się niewykonalne. Badacze chcą skorzystać z metod relatywistyki numerycznej, aby ujrzeć początek wszechświata.
tech.wp.pl, 2025-11-22 18:27:20
2025-11-22 18:27:20
Coldplay, kamera i romans na oczach świata. Kim są Andy Byron i firmą Astronomer?
cyfrowa.rp.pl
Kamera na koncercie Coldplay uchwyciła scenę, która przerodziła się w internetową burzę. W jej środku znaleźli się dyrektor generalny nowojorskiej firmy AI Astronomer oraz jego współpracownica. Sprawa budzi ogromne emocje wśród internautów.
cyfrowa.rp.pl, 2025-07-18 16:34:05
2025-07-18 16:34:05
Dron z kamerą termowizyjną do kontroli ciężarówek – badanie hamulców oraz opon
40ton.net
Myślicie, że pomysły na kontrole samochodów ciężarowych już się wyczerpały? A jednak, nic z tych rzeczy. The post Dron z kamerą termowizyjną do kontroli ciężarówek – badanie hamulców oraz opon appeared first on 40ton.
40ton.net, 2025-07-22 10:18:12
2025-07-22 10:18:12
Kamera nagrała wandali, którzy nabazgrali na urzędzie (WIDEO)
ostrow24.tv
Urząd Miejski udostępnił nagranie z monitoringu, który utrwalił nocny akt wandalizmu, w wyniku którego pojawiło się wulgarne określenie pod adresem prezydent Ostrowa Wlkp. Beaty Klimek oraz nazistowskie symbole, których pełno… Artykuł Kamera n...
ostrow24.tv, 2025-07-23 15:58:07
2025-07-23 15:58:07
Tania kamera do monitoringu w promocji. Zadbaj o bezpieczeństwo domu podczas wakacyjnego wyjazdu
android.com.pl
Żeby zadbać o bezpieczeństwo swojego domu podczas wyjazdu na urlop, wystarczy tania kamera. Widoczny monitoring może odstraszyć potencjalnych włamywaczy, a w przypadku włamania – pomóc ich zidentyfikować. Tania kamera od Imou w jeszcze niższej cenie...
android.com.pl, 2025-07-24 10:49:03
2025-07-24 10:49:03
Ben Stiller nie stanie za kamerą 3. sezonu Rozdzielenia. Co to oznacza dla serialu?
moviesroom.pl
Ben Stiller wycofa się częściowo z pracy nad 3. sezonem serialu Rozdzielenie, po tym jak odegrał kluczową rolę za kulisami uznanego produkcji Apple TV+.Ponieważ 2. sezon Rozdzielenia okazał się majstersztykie
moviesroom.pl, 2025-08-19 16:47:06
2025-08-19 16:47:06
Ta mała kamera daje wielkie możliwości
tabletowo.pl
Na rynku zadebiutowała kamera Insta360 Go Ultra. Pomimo niewielkich gabarytów pozwala na wiele.Przeczytaj pełny artykuł tutaj: Ta mała kamera daje wielkie możliwości
tabletowo.pl, 2025-08-22 09:32:08
2025-08-22 09:32:08